Les caries

La carie est la maladie des dents, elle est directement liée à la consommation d’acides et de sucres : sodas, jus de fruits, sucreries et caramels. Il n’est pas interdit de se faire plaisir, entre copains ou en famille mais pas toute la journée, et le minimum est de se rincer la bouche avec de l’eau rapidement après en avoir bu et mangé.

Facteurs favorisants la carie dentaire

Mauvaise hygiène bucco-dentaire. Il est indispensable d’enlever la plaque dentaire au fur et à mesure de sa formation pour garder des dents saines. Consommation excessive de sucres : un apport continu de nutriments permet aux bactéries d’être actives en continu. Fumer : le tabac diminue la vascularisation, ce qui rend moins actives les défenses immunitaires locales, y compris chez les enfants exposés au tabagisme passif des parents. Problème local : hyposyalie (manque de salive), pouvant faire suite à une irradiation locale (suite à une radiothérapie ORL); respiration buccale ; mauvaise minéralisation des dents. Maladies générales : diabète sucré, hyperthyroïdie, hyperparathyroïdie, traitement par corticoïdes. Stress : de nombreuses études ont mis en évidence un lien direct entre le stress et le taux de caries.

Zones de prédilection

La carie débute le plus souvent dans certaines zones, moins accessibles au nettoyage. Le sillon est la zone anfractueuse, relief négatif, en creux, de toute surface dentaire. Même avec un bon brossage, cette zone est difficilement accessible à la brosse à dents. Pour prévenir ces caries, on peut faire un scellement de sillons : obturation de ces creux avant formation de la carie.

P oint de contact

La zone de contact entre deux dents ne peut être nettoyée avec la brosse à dents.

Collet

La brosse à dent souple est nécessaire pour pouvoir bien passer au niveau du collet, zone légèrement en retrait.


Symptômes

Les premiers signes peuvent apparaître une fois que la carie a atteint la dentine. Mais parfois la douleur ne survient que très tardivement. C’est pourquoi il est vivement conseillé de ne pas attendre d’avoir mal pour consulter un praticien. Douleurs au froid et au sucré signent le plus souvent une carie active ou une dénudation du collet dentaire, qu’il est urgent de faire traiter. Douleurs au chaud ou à la pression signent généralement une reprise de carie sous une obturation qui a évolué à bas bruit et a provoqué la nécrose de la dent concernée. Dommages visibles : initialement tache blanche (pas toujours très visible). Une tache marron (plus ou moins foncé) signe une carie ancienne, reminéralisée, qui n’est plus active. Lorsqu’on remarque un trou dans la dent, la carie est déjà avancée ; la dent risque de devoir être dévitalisée.

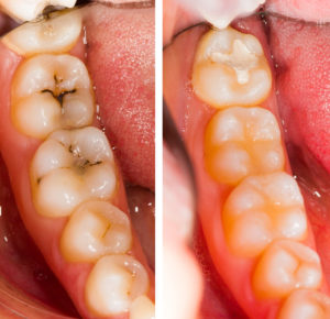
Soins

Le traitement vise à arrêter l’évolution de la carie et à éliminer les zones tissulaires abimées, favoriser la cicatrisation des tissus sains sous-jacent, éviter la récidive, restaurer la forme anatomique et fonctionnelle de la dent. Ainsi, lorsque les caries ne sont pas trop profondes, on réalise des soins conservateurs. Le praticien procède à l’éviction du tissu carié, souvent sous anesthésie locale, puis, en fonction de la profondeur de la carie et de la position de la dent, met en place un amalgame ou un composite.




Les solutions

Composites

Ce type de matériau permet des obturations esthétiques grâce à sa capacité de prendre la couleur de la dent qui l’entoure. La variété de la palette des couleurs est telle que le praticien peut se rapprocher au plus près de la couleur naturelle de la dent. Il existe des composites classiques en mélange de deux composants et des composites photopolymérisables qui durcissent très rapidement en présence d’un puissant rayon lumineux bleu. Ces matériaux sont particulièrement esthétiques.




Inlays Onlays

Les inlays, onlays sont des reconstitutions prothétiques par incrustation de matériau coulé au laboratoire. Lorsque la dent cariée a été particulièrement endommagée, on envisage les inlays, ou incrustation C’est un bloc, en général en céramique (de la couleur des dents) scellé à l’aide d’un ciment dans une cavité aux parois de laquelle il s’adapte en reproduisant l’anatomie occlusale de la dent et ses rapports avec les dents voisines. Cette reconstitution permet de traiter les dommages causés par la carie et de maintenir votre dent vivante.

Dévitalisation

Lorsque la carie a atteint un stade avancé, le dentiste doit dévitaliser la dent, puis obturer les canaux dans lesquels se trouvait la pulpe afin de prévenir une infection bactérienne. Le dentiste réalise le traitement radiculaire ou dévitalisation d’une dent lorsque celle-ci ne peut plus être gardée vivante, soit parce qu’elle est déjà nécrosée, soit parce qu’elle risque de le devenir.




Obturation dentaire – Plombage